頸足根骨骨折で手術をしたウロコインコさんのご紹介です。
お家で遊んでいる際に、足が引っかかってしまい、その後から左足が使えないとのことで来院されました。

来院時、左足は全く動かすことができず、頸足根部を確認すると内出血がある状況でした。
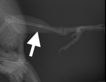
レントゲンを撮影すると頸足根骨がほぼ中央で骨折していることがわかりました。


骨折の原因になるケースの例
- 足やお尻で踏んでしまった、、、
- ドアや冷蔵庫の扉に挟んでしまった、、、
- 長い爪が洋服やカーペットなどにひっかり暴れてしまった、、、
- 飛んでいる時壁や窓にぶつかってしまった、、、
- 高いところから落ちてしまった、、、
- ケージの中でパニックを起こして暴れた、、、
放鳥中の事故がとても多いです、、、、
放鳥中が絶対目を離さないようにしましょう!!!
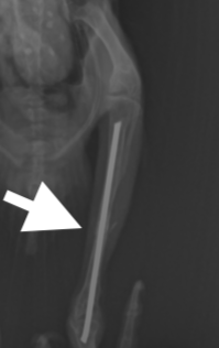
骨折の部位、経過時間、本人の状態も手術可能な状態でしたので、ピンニング術を行うことにしました。
骨折部位の皮膚を最小限切開し、骨折部位を露出し、まずは遠位端(趾の方)にピンを挿入し、踵部の関節までピンを貫通させます。その後近位端にピンを挿入し、膝の関節は貫通しないように、長さを確認しながら、ピンを調節します。
最後に踵部から出ているピンを折り曲げ、適切な長さにカットし、テーピングをして手術は終了です。
出血もほとんどなく、術後の経過も良好で、数日後退院しました。



約3週間経過したところで、骨の状態をレントゲンで再チェックし、仮骨形成を確認した後、ピンを抜く処置をしました。ピンを抜いた直後もしっかり足を動かしてました。



これでまたいっぱい遊べるね!!
皆様もお怪我には注意してあげてくださいね!!
コメント