当院は予約優先制です。予約を取られてからご来院ください。

徳島県の鳥専門と犬猫往診の動物病院

手術

症例紹介:ブンチョウの2卵塞症

お腹の中で卵が2個詰まってしまった2卵塞症のブンチョウさんのご紹介です。腹部膨満と足を気にしているとの主訴で来院しました。

触診時、腹部の膨満と卵殻を触知しました。
また腹部より卵殻が透けて見えるような所見もありました。

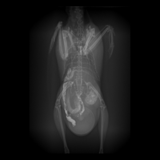
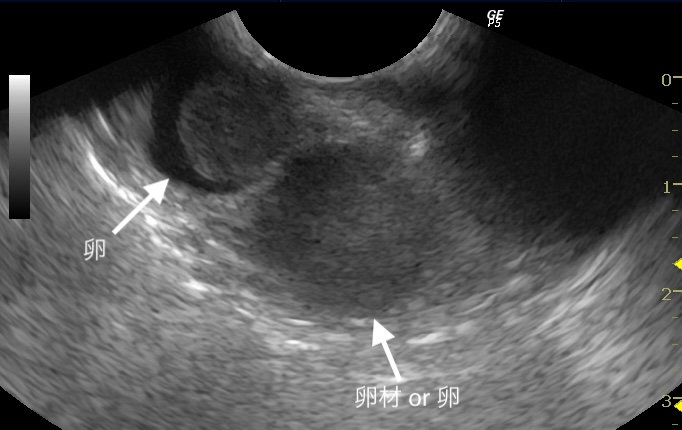
レントゲンを撮影したところ腹部下方に卵が確認できました。さらに卵巣や卵管の領域の陰影が拡大しており、筋胃が下方に押されている所見もあったため、超音波検査も実施しました。

超音波検査では、卵管内に卵材か軟卵を疑う所見と、腹部下方の卵の周りには血流が確認できなかったため、卵墜症の可能性も考えました。

外科的な摘出でなければ状態の改善が難しかったため、術前検査を実施し、後日手術をしました。

鳥の術前検査について
手術を実施する前にはできる限り安全に手術を進めるために、術前検査をします。
術前検査では、麻酔をかけた際のリスク評価
手術時の切開する部位の指標とするためなどに実施します。
大きく分けると造影検査と血液検査の2種類があります。

造影検査
バリウムやヨード系造影剤を飲ませてからレントゲンを撮影します。
通常のレントゲンでははっきりと見えない、腸の走行などが確認できます。
腹部の手術をする場合、卵や腫瘤などの影響で
腸が通常とは異なる位置に存在することがあります。
腹部を切開する際に臓器を傷つけないようにするためにも重要です。

血液検査
貧血の有無、腎臓や肝臓の評価、血液凝固の状態などを調べます。
麻酔薬の中には肝臓で代謝され、腎臓で排出される物もあります。腎臓や肝臓の昨日が低い場合には覚醒遅延などのリスクを評価します。
血液凝固時間を計測することで、手術中に出血した場合にも自分の力でしっかり血を止めることができるか評価します。

手術はまず皮膚、腹筋、肝後中隔の順に切開し、一番手前にある卵の摘出から始めました。腹腔内を確認すると卵は卵管内にあることと、卵材か卵か疑われたところには殻の薄い軟卵があることがわかりました。よって2卵塞であることが判明しました。
それぞれの卵を卵管を切開して摘出しました。卵管もかなり発達していたため、卵管も摘出し、卵塞の再発を防止しました。

*以下卵管の写真映ります。苦手な方はご注意ください。

摘出した卵
摘出した卵管(少し色変えてます)

手術後はすぐにご飯を食べ始め、入院中も術創も順調に修復してきました。
お腹スッキリしてよかったね!!これからは発情抑制がんばりましょう!!

永嶋 惇平

2014年4月 日本大学生物資源科学部獣医学科入学 2020年3月 日本大学生物資源科学部獣医学科卒業 2020年4月-2025年3月 横浜小鳥の病院 勤務 2025年5月 とくしま鳥の病院 開院

コメント

この記事へのトラックバックはありません。

関連記事

  1. 症例紹介:胃内異物の摘出

  2. 症例紹介:ブンチョウの2卵塞症

  3. 症例紹介:頸足根骨骨折

PAGE TOP