当院は予約優先制です。予約を取られてからご来院ください。

徳島県の鳥専門と犬猫往診の動物病院

手術

症例紹介:胃内異物の摘出

靴下を食べてしまったメンフクロウの紹介です。
前日の夜から元気・食欲の低下があり、靴下を食べたかもとのことで来院されました。

来院時かなり具合悪そうで、触診時には、腹部に固いものを触り、脱水もある状態でした。

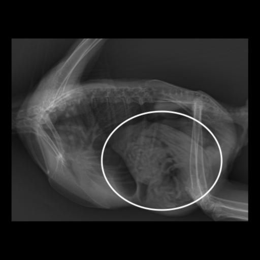
レントゲンを撮影してみると、胃の部分に異物を疑う陰影(写真の白枠)が見つかりました。

フクロウの異物誤食

フクロウは食べ物を丸呑みにする習性があり、靴下やタオル、紐、ぬいぐるみなど口に入るものならなんでも飲み込んでしまいます。

フクロウは通常、食べ物に含まれていた骨・皮・毛などはペリットとして吐き出すことができます。
しかし靴下やタオルなど布の異物は胃の中で水分を吸収すると重くなり、自力で排出することが難しくなります。

吐き出せる可能性があるものでは催吐処置(薬で吐かせる)をすることがありますが、多くが外科的に胃を切開して異物を取り出す必要があります。
フクロウ以外の異物誤食

フクロウ以外にも大型のインコ・オウムやニワトリやウズラなどの鳥類でも異物の誤食はよくあります。

異物としては植物性の異物(木綿、コットン、麻、木材、ゴム、紙、ティッシュ、ダンボールなど)、動物性の異物(羊毛、ウール、絹、シルク、毛髪など)、鉱物製の異物(土、砂、プラスチック、ガラスなど)、金属製異物(鉛、亜鉛、銅など)、合成繊維(ポリエステル、アクリル、ナイロン)、ビニールなどがあります。

異物の種類によりますが、大量摂取で消化管が閉塞してしまうことや、少量摂取で強い中毒を起こすものもあります。

症状としては消化管閉塞では強い嘔吐・吐出症状や排便の減少や停止があります。

自力排泄が難しい場合は外科的に胃切開をし摘出します。

本症例も最初は飼い主様のご希望もあり催吐処置を実施しましたが、自力排泄が難しく、状態も悪かったため緊急手術で異物を除去することにしました。

鳥類の胃切開術

胃内の異物の除去や金属中毒で自力排泄が難しく中毒症状が強い場合などには外科的に胃を切開して異物を除去することがあります。

インコ・オウム類の場合、腺胃と筋胃の2つ胃があります。筋胃を切開した場合治療成績が悪い場合もあるため、可能であれば筋胃内の異物も腺胃を切開し、腺胃内から筋胃にアプローチします。

フクロウの場合は腺胃のみであり、腹部表面のかなり近いところに位置しているため、比較的容易にアプローチすることができます。

全身麻酔下で胃切開を実施し、無事異物を除去することができました。

手術直後の様子です。よく頑張ってくれました。
スッキリしてよかったね!!

手術後1週間の様子です。だいぶ顔つきも良くなりましたね!

永嶋 惇平

2014年4月 日本大学生物資源科学部獣医学科入学 2020年3月 日本大学生物資源科学部獣医学科卒業 2020年4月-2025年3月 横浜小鳥の病院 勤務 2025年5月 とくしま鳥の病院 開院

コメント

この記事へのコメントはありません。

関連記事

  1. <バードドック>らむちゃん/セキセイインコ

  2. <バードドック>こむぎちゃん/ウロコインコ

  3. <バードドック>キューちゃん/オカメインコ

PAGE TOP